Lower Teeth Composite Bonding

 

Six Lower Teeth Bonding

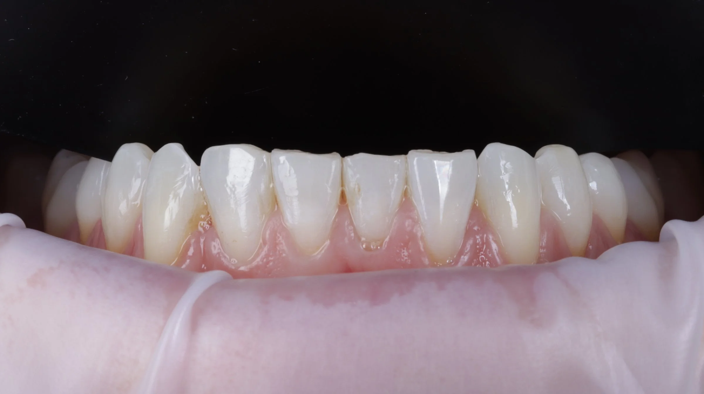
Lower teeth need attention too!

This patient had discoloured and worn lower teeth. As part of a their smile makeover the teeth were first straightened with Invisalign, then they were later whitened.

I then restored the worn edges using composite bonding to the lower six front teeth. This was completed in a single visit, without any enamel damage or needles.

Book clinic appointment [Birmingham]
Book clinic appointment [Stafford]

A natural, healthy and beautiful smile.

By Dr Kal

 
Learn more about composite bonding

This patient received a full smile makeover.

This includes upper and lower teeth straightening with Invisalign, Professional teeth whitening and 12 teeth composite bonding. View her before and after images below.

Previous
Previous

Composite Bonding [ 2 Teeth]

Next
Next

Invisalign Smile Makeover [ + 12 Teeth Bonding]