Leoni’s Smile Makeover

 

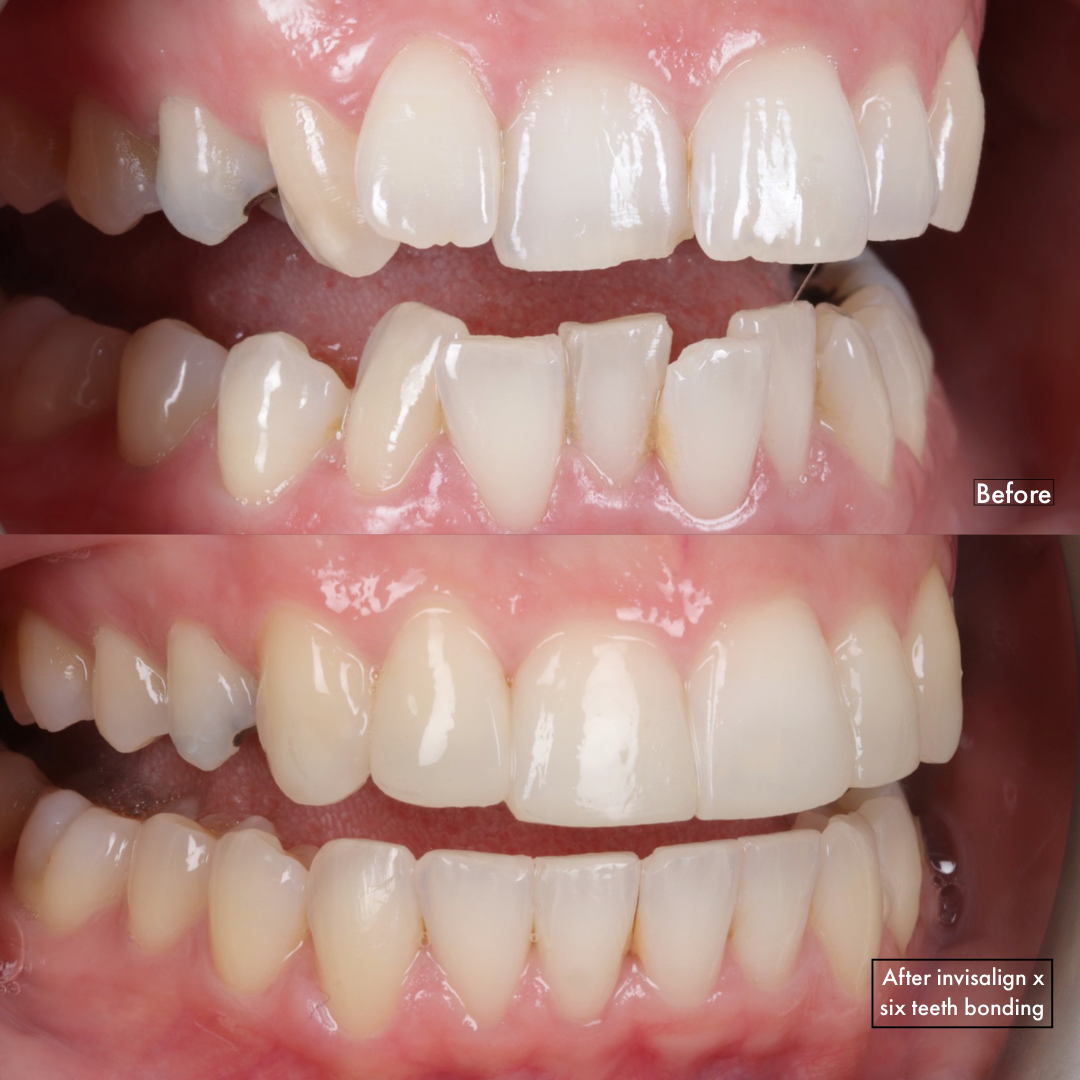
Her concerns

Leoni came to see me to fix her smile concerns. She hated the position of her front teeth, especially how they stuck out and were crooked. She just wanted a straighter, more even smile.

We achieved her new smile within six months, without any needles, injections or pain.

ABC Treatment Protocol

  • We first straightened out the smile with Invisalign teeth aligners. The invisalign treatment only took 17 weeks. Watch how Leoni’s teeth moved in the video below.

  • After the teeth were in the correct position, we whitened the teeth with a two week home kit. Leoni used the last aligner with the home bleaching kit for 14 nights. This brightens the teeth, removing staining.

  • Once the teeth were whiter, we removed the buttons ( these are used to hold the aligners in place) and we placed composite edge bonding on the upper six teeth. Composite bonding was used to correct the uneven edges and the smaller imperfections to complete the smile.

 

Smile Comparison

Composite bonding and invisalign, composite veneers, birmingham dentist

Invisalign Teeth Straightening

We first digitally planned the teeth alignment using Invisalign’s simulator, ClinCheck. This shows how the teeth will look following teeth straightening, how many estimated weeks the treatment will take, where space creation maybe required and where buttons (attachments) need to be placed.

invisalign teeth straightening, teeth alignment with aligners, birmingham and stafford dentist
 

Watch Leoni’s Invisalign Journey

Composite Bonding after Invisalign

 

What is Composite Bonding?

Composite Bonding is a tooth coloured material, hand sculpted onto the natural tooth to fix minor issues such as chips, spacing and uneven edges.

Here we treated the upper six front teeth with composite edge bonding.

Why is it used?

Leoni had composite edge bonding to correct the uneven incisal edges on the upper six front teeth. This is where the material is only used on the edges of the teeth to correct minor tooth imperfections. It is a minimally invasive method of improving the smile and does not involve drilling, injections or removing healthy tooth material.

Previous
Previous

Invisalign Smile Makeover [ + 6 Teeth Bonding]

Next
Next

ICON White Spot Removal